症例紹介
- HOME
- 症例紹介
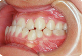
症状
- 患者さん
- 6歳11ヶ月 男の子
- 主訴
- 下前歯がガタガタと上前歯正中離開
- 主な症状
- 叢生(ガタガタ)
- 治療方法
- エッジワイズ装置を用いた矯正治療
- 所見
- 下の前歯(永久歯)が萌出中でありガタガタになっている
上の前歯(永久歯)が2本生えているが、すきまがあいている
上下の歯の咬み合わせは悪くない
口元も出っ張ったりはしていない - 治療の費用
- 80万円程度
- 通院回数
- 30回
- 治療期間
- ・観察期間4年(装置はつけずに、年一回ほど来院)
・治療期間2年2ヶ月(装置を入れて歯を動かした期間) - 治療内容
- 無駄な治療をしないために、6歳の来院時から永久歯列完成の10歳11ヶ月までは何も行いませんでした。
永久歯列完成後、上下左右の4番目の抜歯をし、エッジワイズ装置を用いてガタガタを取り除き、歯並びと咬み合わせの改善をまとめて行いました。 - リスク、副作用
- ・叢生の改善のためには抜歯スペースが必要でした。
・最初は矯正装置による不快感、痛み等があります。数日間〜1、2週間で慣れることが多いです。
・歯の動き方には個人差があります。そのため、予想された治療期間が延長する可能性があります。
・装置の使用状況、顎間ゴムの使用状況、定期的な通院等、矯正治療には患者さんの協力が非常に重要であり、それらが治療結果や治療期間に影響します。
・治療中は、装置が付いているため歯が磨きにくくなります。むし歯や歯周病のリスクが高まりますので、丁寧に磨いたり、定期的なメンテナンスを受けたりすることが重要です。また、歯が動くと隠れていたむし歯が見えるようになることもあります。
・歯を動かすことにより歯根が吸収して短くなることがあります。また、歯ぐきがやせて下がることがあります。
・ ごくまれに歯が骨と癒着していて歯が動かないことがあります。
・ ごくまれに歯を動かすことで神経が障害を受けて壊死することがあります。
・治療途中に金属等のアレルギー症状が出ることがあります。
・治療中に「顎関節で音が鳴る、あごが痛い、口が開けにくい」などの顎関節症状が出ることがあります。
・様々な問題により、当初予定した治療計画を変更する可能性があります。
・歯の形を修正したり、咬み合わせの微調整を行ったりする可能性があります。
・ 矯正装置を誤飲する可能性があります。
・装置を外す時に、エナメル質に微小な亀裂が入る可能性や、かぶせ物(補綴物)の一部が破損する可能性があります。
・装置が外れた後、保定装置を指示通り使用しないと後戻りが生じる可能性が高くなります。
・装置が外れた後、現在の咬み合わせに合った状態のかぶせ物(補綴物)やむし歯の治療(修復物)などをやりなおす可能性があります。
・あごの成長発育によりかみ合わせや歯並びが変化する可能性があります。
・治療後に親知らずが生えて、歯列に影響がでることがあります。加齢や歯周病等によりかみ合わせや歯並びが変化することがあります。
・ 矯正歯科治療は、一度始めると元の状態に戻すことは難しくなります。
症状
- 患者さん
- 28歳7ヶ月 女性
- 主訴
- 前歯のガタガタと反対を治したい。
- 主な症状
- 叢生(ガタガタ)と上下顎前歯の前突
- 治療方法
- エッジワイズ装置を用いた矯正治療
- 所見
- 上下の前歯が前傾しており、それに伴って口元が突出している
上下顎の歯列にガタガタがあり、上下の歯が反対に咬んでいる所がある
上下顎の歯列の真ん中が合っていない - 治療の費用
- 80万円程度
- 通院回数
- 20回
- 治療期間
- ・治療期間1年9ヶ月(装置を入れて歯を動かした期間)
- 治療内容
- 上顎左右5番、下顎右4番目、左5番目を抜歯し、エッジワイズ装置を用いて歯並びと咬み合わせ、およびそれに伴う口唇(口元)の改善を行いました。
- リスク、副作用
- ・叢生を取り除いて、かみ合わせをつくるために抜歯が必要でした。
・最初は矯正装置による不快感、痛み等があります。数日間〜1、2週間で慣れることが多いです。
・歯の動き方には個人差があります。そのため、予想された治療期間が延長する可能性があります。
・装置の使用状況、顎間ゴムの使用状況、定期的な通院等、矯正治療には患者さんの協力が非常に重要であり、それらが治療結果や治療期間に影響します。
・治療中は、装置が付いているため歯が磨きにくくなります。むし歯や歯周病のリスクが高まりますので、丁寧に磨いたり、定期的なメンテナンスを受けたりすることが重要です。また、歯が動くと隠れていたむし歯が見えるようになることもあります。
・歯を動かすことにより歯根が吸収して短くなることがあります。また、歯ぐきがやせて下がることがあります。
・ ごくまれに歯が骨と癒着していて歯が動かないことがあります。
・ ごくまれに歯を動かすことで神経が障害を受けて壊死することがあります。
・治療途中に金属等のアレルギー症状が出ることがあります。
・治療中に「顎関節で音が鳴る、あごが痛い、口が開けにくい」などの顎関節症状が出ることがあります。
・様々な問題により、当初予定した治療計画を変更する可能性があります。
・歯の形を修正したり、咬み合わせの微調整を行ったりする可能性があります。
・ 矯正装置を誤飲する可能性があります。
・装置を外す時に、エナメル質に微小な亀裂が入る可能性や、かぶせ物(補綴物)の一部が破損する可能性があります。
・装置が外れた後、保定装置を指示通り使用しないと後戻りが生じる可能性が高くなります。
・装置が外れた後、現在の咬み合わせに合った状態のかぶせ物(補綴物)やむし歯の治療(修復物)などをやりなおす可能性があります。
・あごの成長発育によりかみ合わせや歯並びが変化する可能性があります。
・治療後に親知らずが生えて、歯列に影響がでることがあります。加齢や歯周病等によりかみ合わせや歯並びが変化することがあります。
・ 矯正歯科治療は、一度始めると元の状態に戻すことは難しくなります。
症状
- 患者さん
- 20歳7ヶ月 女性
- 主訴
- 歯が出ている、口元が出ている。
- 主な症状
- 上の歯の前突
- 治療方法
- エッジワイズ装置を用いた矯正治療
- 所見
- 上の前歯が著しく前方に突出している。下の前歯も前傾している
それに伴って口元が突出し、口唇が閉じるのが困難になっている
上下の歯列が前後的に大きくズレている
上下の歯列の真ん中が合っていない - 治療の費用
- 80万円程度
- 通院回数
- 50回
- 治療期間
- ・治療期間3年11ヶ月(前歯の移動距離がかなり大きかったために長めの治療期間になった)
- 治療内容
- 上顎左右4番と左右6番、下顎右5番、左4番、左8番目を抜歯してエッジワイズ装置を用いて歯並びと咬み合わせ、およびそれを伴う口唇(口元)の改善を行いました。上顎左右8番目の歯(親知らず)は咬合に参加させてかみ合わせをつくっています。
- リスク、副作用
- ・前歯を大きくひっこめるため、抜歯スペースが必要でした。
・最初は矯正装置による不快感、痛み等があります。数日間〜1、2週間で慣れることが多いです。
・歯の動き方には個人差があります。そのため、予想された治療期間が延長する可能性があります。
・装置の使用状況、顎間ゴムの使用状況、定期的な通院等、矯正治療には患者さんの協力が非常に重要であり、それらが治療結果や治療期間に影響します。
・治療中は、装置が付いているため歯が磨きにくくなります。むし歯や歯周病のリスクが高まりますので、丁寧に磨いたり、定期的なメンテナンスを受けたりすることが重要です。また、歯が動くと隠れていたむし歯が見えるようになることもあります。
・歯を動かすことにより歯根が吸収して短くなることがあります。また、歯ぐきがやせて下がることがあります。
・ ごくまれに歯が骨と癒着していて歯が動かないことがあります。
・ ごくまれに歯を動かすことで神経が障害を受けて壊死することがあります。
・治療途中に金属等のアレルギー症状が出ることがあります。
・治療中に「顎関節で音が鳴る、あごが痛い、口が開けにくい」などの顎関節症状が出ることがあります。
・様々な問題により、当初予定した治療計画を変更する可能性があります。
・歯の形を修正したり、咬み合わせの微調整を行ったりする可能性があります。
・ 矯正装置を誤飲する可能性があります。
・装置を外す時に、エナメル質に微小な亀裂が入る可能性や、かぶせ物(補綴物)の一部が破損する可能性があります。
・装置が外れた後、保定装置を指示通り使用しないと後戻りが生じる可能性が高くなります。
・装置が外れた後、現在の咬み合わせに合った状態のかぶせ物(補綴物)やむし歯の治療(修復物)などをやりなおす可能性があります。
・あごの成長発育によりかみ合わせや歯並びが変化する可能性があります。
・治療後に親知らずが生えて、歯列に影響がでることがあります。加齢や歯周病等によりかみ合わせや歯並びが変化することがあります。
・ 矯正歯科治療は、一度始めると元の状態に戻すことは難しくなります。
下突咬合

下突咬合治療前

下突咬合治療後
症状
- 患者さん
- 12歳2ヶ月 男性
- 主訴
- 前歯が反対に咬んでいる。
- 主な症状
- 上下顎前歯反対咬合
- 治療方法
- エッジワイズ装置を用いた矯正治療
- 所見
- 下顎骨前方位による下突咬合
右上3番が埋伏している - 治療の費用
- 80万円程度
- 通院回数
- 37回
- 治療期間
- ・治療期間2年6ヶ月
- 治療内容
- 下顎左右7番の抜歯を行い、上下顎にマルチブラケット装置を用いた。下顎左右8番を咬合に参加させた。
- リスク、副作用
- ・下顎前歯を後退させるために下顎左右7番の抜歯が必要でした。
・最初は矯正装置による不快感、痛み等があります。数日間〜1、2週間で慣れることが多いです。
・歯の動き方には個人差があります。そのため、予想された治療期間が延長する可能性があります。
・装置の使用状況、顎間ゴムの使用状況、定期的な通院等、矯正治療には患者さんの協力が非常に重要であり、それらが治療結果や治療期間に影響します。
・治療中は、装置が付いているため歯が磨きにくくなります。むし歯や歯周病のリスクが高まりますので、丁寧に磨いたり、定期的なメンテナンスを受けたりすることが重要です。また、歯が動くと隠れていたむし歯が見えるようになることもあります。
・歯を動かすことにより歯根が吸収して短くなることがあります。また、歯ぐきがやせて下がることがあります。
・ ごくまれに歯が骨と癒着していて歯が動かないことがあります。
・ ごくまれに歯を動かすことで神経が障害を受けて壊死することがあります。
・治療途中に金属等のアレルギー症状が出ることがあります。
・治療中に「顎関節で音が鳴る、あごが痛い、口が開けにくい」などの顎関節症状が出ることがあります。
・様々な問題により、当初予定した治療計画を変更する可能性があります。
・歯の形を修正したり、咬み合わせの微調整を行ったりする可能性があります。
・ 矯正装置を誤飲する可能性があります。
・装置を外す時に、エナメル質に微小な亀裂が入る可能性や、かぶせ物(補綴物)の一部が破損する可能性があります。
・装置が外れた後、保定装置を指示通り使用しないと後戻りが生じる可能性が高くなります。
・装置が外れた後、現在の咬み合わせに合った状態のかぶせ物(補綴物)やむし歯の治療(修復物)などをやりなおす可能性があります。
・あごの成長発育によりかみ合わせや歯並びが変化する可能性があります。
・治療後に親知らずが生えて、歯列に影響がでることがあります。加齢や歯周病等によりかみ合わせや歯並びが変化することがあります。
・ 矯正歯科治療は、一度始めると元の状態に戻すことは難しくなります。
叢生

叢生治療前

叢生治療後
症状
- 患者さん
- 11歳3ヶ月 女性
- 主訴
- 前歯のガタガタが気になる。
- 主な症状
- 叢生(ガタガタ)
- 治療方法
- エッジワイズ装置を用いた矯正治療
- 所見
- 上下顎に歯の大きさと顎骨の大きさの不調和による叢生がみられる
- 治療の費用
- 80万円程度
- 通院回数
- 20回
- 治療期間
- ・治療期間1年7ヶ月
- 治療内容
- 上下顎左右4番の抜歯を行い、上下顎にマルチブラケット装置を用いた。
- リスク、副作用
- ・叢生の改善のためには抜歯スペースが必要でした。
・最初は矯正装置による不快感、痛み等があります。数日間〜1、2週間で慣れることが多いです。
・歯の動き方には個人差があります。そのため、予想された治療期間が延長する可能性があります。
・装置の使用状況、顎間ゴムの使用状況、定期的な通院等、矯正治療には患者さんの協力が非常に重要であり、それらが治療結果や治療期間に影響します。
・治療中は、装置が付いているため歯が磨きにくくなります。むし歯や歯周病のリスクが高まりますので、丁寧に磨いたり、定期的なメンテナンスを受けたりすることが重要です。また、歯が動くと隠れていたむし歯が見えるようになることもあります。
・歯を動かすことにより歯根が吸収して短くなることがあります。また、歯ぐきがやせて下がることがあります。
・ ごくまれに歯が骨と癒着していて歯が動かないことがあります。
・ ごくまれに歯を動かすことで神経が障害を受けて壊死することがあります。
・治療途中に金属等のアレルギー症状が出ることがあります。
・治療中に「顎関節で音が鳴る、あごが痛い、口が開けにくい」などの顎関節症状が出ることがあります。
・様々な問題により、当初予定した治療計画を変更する可能性があります。
・歯の形を修正したり、咬み合わせの微調整を行ったりする可能性があります。
・ 矯正装置を誤飲する可能性があります。
・装置を外す時に、エナメル質に微小な亀裂が入る可能性や、かぶせ物(補綴物)の一部が破損する可能性があります。
・装置が外れた後、保定装置を指示通り使用しないと後戻りが生じる可能性が高くなります。
・装置が外れた後、現在の咬み合わせに合った状態のかぶせ物(補綴物)やむし歯の治療(修復物)などをやりなおす可能性があります。
・あごの成長発育によりかみ合わせや歯並びが変化する可能性があります。
・治療後に親知らずが生えて、歯列に影響がでることがあります。加齢や歯周病等によりかみ合わせや歯並びが変化することがあります。
・ 矯正歯科治療は、一度始めると元の状態に戻すことは難しくなります。
開咬

開咬合 治療前

開咬合 治療後
症状
- 患者さん
- 22歳8ヶ月 女性
- 主訴
- 前歯が咬み合っていなく開いている。
- 主な症状
- 前歯部の開咬合
- 治療方法
- エッジワイズ装置を用いた矯正治療
- 所見
- 上下顎歯列に叢生があり、5⏈5 5⏇5が咬合していない
下顎骨は後方位である - 治療の費用
- 80万円程度
- 通院回数
- 41回
- 治療期間
- ・治療期間3年1ヶ月(前歯の咬み合わせを深くするのにやや時間がかかった)
- 治療内容
- 上顎左右5番と6番、下顎左右5番と8番の抜歯を行い、上下顎にマルチブラケット装置を用いた。
- リスク、副作用
- ・叢生の改善と上顎前歯の舌側移動のためには抜歯スペースが必要でした。
・最初は矯正装置による不快感、痛み等があります。数日間〜1、2週間で慣れることが多いです。
・歯の動き方には個人差があります。そのため、予想された治療期間が延長する可能性があります。
・装置の使用状況、顎間ゴムの使用状況、定期的な通院等、矯正治療には患者さんの協力が非常に重要であり、それらが治療結果や治療期間に影響します。
・治療中は、装置が付いているため歯が磨きにくくなります。むし歯や歯周病のリスクが高まりますので、丁寧に磨いたり、定期的なメンテナンスを受けたりすることが重要です。また、歯が動くと隠れていたむし歯が見えるようになることもあります。
・歯を動かすことにより歯根が吸収して短くなることがあります。また、歯ぐきがやせて下がることがあります。
・ ごくまれに歯が骨と癒着していて歯が動かないことがあります。
・ ごくまれに歯を動かすことで神経が障害を受けて壊死することがあります。
・治療途中に金属等のアレルギー症状が出ることがあります。
・治療中に「顎関節で音が鳴る、あごが痛い、口が開けにくい」などの顎関節症状が出ることがあります。
・様々な問題により、当初予定した治療計画を変更する可能性があります。
・歯の形を修正したり、咬み合わせの微調整を行ったりする可能性があります。
・ 矯正装置を誤飲する可能性があります。
・装置を外す時に、エナメル質に微小な亀裂が入る可能性や、かぶせ物(補綴物)の一部が破損する可能性があります。
・装置が外れた後、保定装置を指示通り使用しないと後戻りが生じる可能性が高くなります。
・装置が外れた後、現在の咬み合わせに合った状態のかぶせ物(補綴物)やむし歯の治療(修復物)などをやりなおす可能性があります。
・あごの成長発育によりかみ合わせや歯並びが変化する可能性があります。
・治療後に親知らずが生えて、歯列に影響がでることがあります。加齢や歯周病等によりかみ合わせや歯並びが変化することがあります。
・ 矯正歯科治療は、一度始めると元の状態に戻すことは難しくなります。
口腔内と口元の変化

口腔内 治療前

口腔内 治療後
前歯をひっこめ、きれいな歯並びになりました。

口唇治療前
口を閉じる時には口の周りが緊張してしまい、口元が出っ張って見えます。

口唇治療後
前歯をひっこめることにより、楽に口が閉じられ、すっきりした口元になりました。
症状
- 患者さん
- 13歳1ヶ月 女性
- 主訴
- 歯がガタガタしている、上の歯が出ている、口元がでていて唇が閉じにくい。
- 主な症状
- 叢生(ガタガタ)と上下顎前歯の前突
- 治療方法
- エッジワイズ装置を用いた矯正治療
- 所見
- 上下顎に歯の大きさと顎骨の大きさの不調和による叢生と上顎前歯の唇側傾斜がみられる
口唇閉鎖時に口腔周囲筋の緊張がみられる - 治療の費用
- 80万円程度
- 通院回数
- 30回
- 治療期間
- ・治療期間2年10ヶ月
- 治療内容
- 上下左右4番の抜歯を行い、上下顎にマルチブラケット装置を用いた。
- リスク、副作用
- ・叢生の改善と、上下顎前歯を後退させるためには抜歯スペースが必要でした。
・最初は矯正装置による不快感、痛み等があります。数日間〜1、2週間で慣れることが多いです。
・歯の動き方には個人差があります。そのため、予想された治療期間が延長する可能性があります。
・装置の使用状況、顎間ゴムの使用状況、定期的な通院等、矯正治療には患者さんの協力が非常に重要であり、それらが治療結果や治療期間に影響します。
・治療中は、装置が付いているため歯が磨きにくくなります。むし歯や歯周病のリスクが高まりますので、丁寧に磨いたり、定期的なメンテナンスを受けたりすることが重要です。また、歯が動くと隠れていたむし歯が見えるようになることもあります。
・歯を動かすことにより歯根が吸収して短くなることがあります。また、歯ぐきがやせて下がることがあります。
・ ごくまれに歯が骨と癒着していて歯が動かないことがあります。
・ ごくまれに歯を動かすことで神経が障害を受けて壊死することがあります。
・治療途中に金属等のアレルギー症状が出ることがあります。
・治療中に「顎関節で音が鳴る、あごが痛い、口が開けにくい」などの顎関節症状が出ることがあります。
・様々な問題により、当初予定した治療計画を変更する可能性があります。
・歯の形を修正したり、咬み合わせの微調整を行ったりする可能性があります。
・ 矯正装置を誤飲する可能性があります。
・装置を外す時に、エナメル質に微小な亀裂が入る可能性や、かぶせ物(補綴物)の一部が破損する可能性があります。
・装置が外れた後、保定装置を指示通り使用しないと後戻りが生じる可能性が高くなります。
・装置が外れた後、現在の咬み合わせに合った状態のかぶせ物(補綴物)やむし歯の治療(修復物)などをやりなおす可能性があります。
・あごの成長発育によりかみ合わせや歯並びが変化する可能性があります。
・治療後に親知らずが生えて、歯列に影響がでることがあります。加齢や歯周病等によりかみ合わせや歯並びが変化することがあります。
・ 矯正歯科治療は、一度始めると元の状態に戻すことは難しくなります。






